当前位置:主页 > 口腔科 > 种植牙

做种植牙有危害吗

    做种植牙有危害吗?奉爱专家表示,种植牙是牙齿缺失最佳修复方法,在正规专业的口腔医院做种植牙是不会出现危害的。而种植牙会有危害主要是由于在小的牙科诊所做的修复,技术跟不上所导致。那么具体内容就让我院奉爱口腔专家为各位详细介绍下。
 
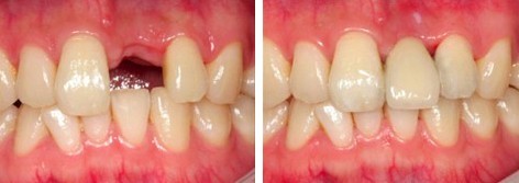
 种植牙前后对比图》》更多问题立即点击“在线咨询”
 
    不正规的口腔机构做种植牙会产生以下危害:
 
    1、会导致感染。一些小诊所技术条件跟不上,那么很有可能会有感染的危害。
 
    2、会导致牙龈增生。这是种植体“牙根”穿龈过少,或“牙根”与桥架连接不良而导致的一种并发症。
 
    3、下唇麻木。种植牙的技术到位,是不会损伤到神经的;但牙医在术中剥离时损伤颏神经,或种植体植入时直接创伤了下牙槽神经,那么就会出现下唇麻木的情况。
 
    4、会导致伤口裂开和出血。伤口裂开是在种植牙修复时,缝合过紧或过松而导致的;尤其在种植牙修复时清洁不当,诱发感染的情况下,更易导致局部伤口裂开。种植牙是一种微创手术,应该是没有出血的。但如果种植牙的技术不到位,则易发生粘膜下或皮下出血。
 
    做种植牙对设备和医生的技术要求非常高,到正规专业的口腔医院做种植牙,其危害可以避免。做好种植牙日常护理措施,保证种植牙的使用寿命。
更多健康问题?来咨询一下吧!

口腔科医生

苏涛

苏涛特聘专家

上海奉爱医院特聘专家(奉贤中心医院口腔科)1993年毕业于华西医科大学...

顾贤金

顾贤金主治医师

原奉城医院资深口腔科医生,从事口腔诊疗工作近40年...

您可能还想知道